El Dorado Family Dental

All-on-X Full Mouth

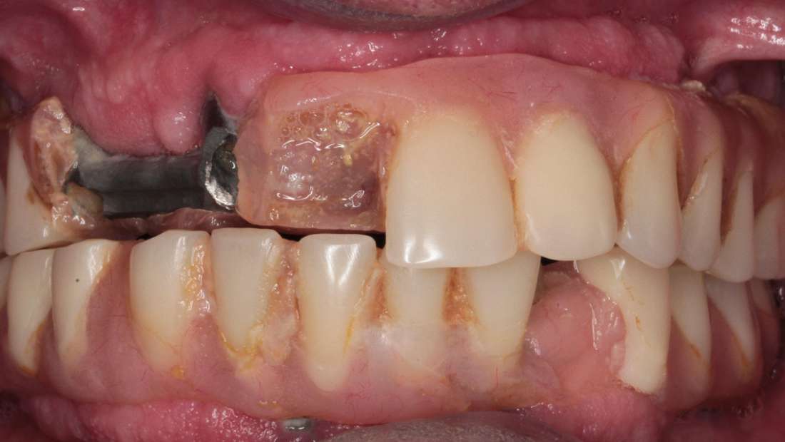
This patient had multiple decayed and missing teeth, requiring a full-mouth restoration. We performed an all-on-x treatment concept procedure, using multiple implants on the upper and lower arches to restore and enhance bite integrity, facial structure, and the visual appeal of their smile.

We love nothing more than witnessing the boost in not just a patient’s smile but their overall attitude and outlook after a transformative restoration with all-on-x!

All-on-X Dental Implants and Cosmetic Dentistry in El Dorado Hills, CA

If you're in El Dorado Hills, CA, and want to learn more about the game-changing benefits of all-on-x dental implants on your smile, bite, and self-confidence, contact Dr. Mohamad Albik and the outstanding El Dorado Family Dental team to begin planning a route to the smile of your dreams!

Related Services:

Dental Implants
Ready to book an appointment?
If you have difficulty using our website, please email us or call us at (530) 444-4944
View the ADA Accessibility Statement
Privacy Policy