El Dorado Family Dental

All-on-X

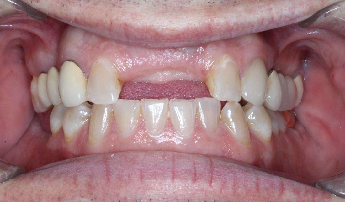
This patient lost his two front teeth, resulting in a large and unsightly gap in the center of his smile. However, his other teeth and dental restorations were healthy, white, and properly aligned. Rather than replace each of his missing teeth with an individual implant, we replaced his upper front teeth with a single all-on-x implant-retained restoration, into which multiple implants were screwed. 

This is a prime example of the transformative impact of dental implants on a patient’s smile. Maximizing the benefit of a minimal number of implants allows for comfortable and confident biting, laughing, speaking, and smiling!

Discover the Magic of All-on-X dental Implants in El Dorado Hills, CA

If you're looking for a cosmetic dentist in El Dorado Hills, CA, to expertly guide you through a spectacular transformation of your smile, bite, and self-esteem, contact Dr. Mohamad Albik and the excellent El Dorado Family Dental team to schedule a potentially life-altering consultation!

Related Services:

Dental Implants
Improve your smile today – call to book a dentist appointment in El Dorado Hills
If you have difficulty using our website, please email us or call us at (530) 444-4944
View the ADA Accessibility Statement