El Dorado Family Dental

Hopeless Teeth Replacement with All on X

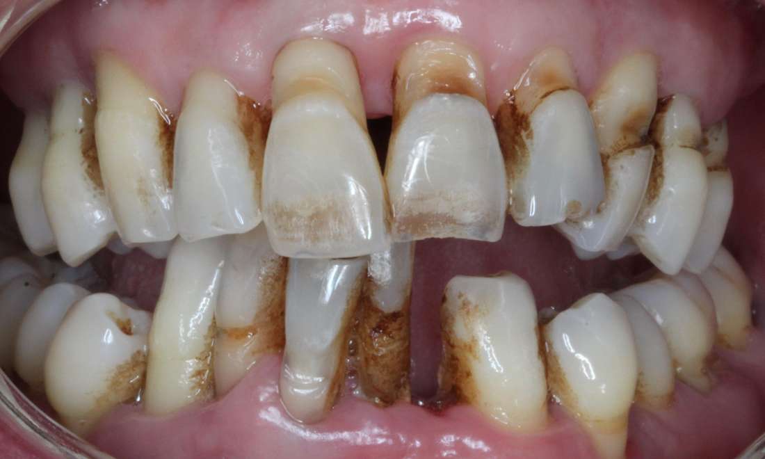
Unhealthy loose teeth are unattractive and negatively impact your comfort and confidence. We used dental implants in El Dorado Hills to replace this patient's all teeth, and the results are amazing!

Dental Implants Near Me

Do you have missing teeth? Are you ready to arrange a consultation with one of top cosmetic dentists?

Related Services:

Dental Implants
Improve your smile today – call to book a dentist appointment in El Dorado Hills
If you have difficulty using our website, please email us or call us at (530) 444-4944
View the ADA Accessibility Statement