El Dorado Family Dental

Implants

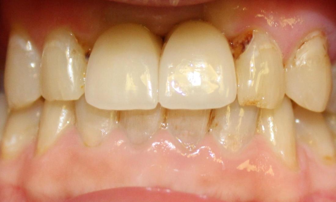
We restored this patient's smile and confidence with dental implants in El Dorado Hills, CA. 

When teeth are missing in succession, we can use single dental implants or an implant-supported short bridge to close the gap. 

Contact Your El Dorado Hills Dentist

We offer innovative solutions to tooth loss. Tell us what you're hoping to achieve. 

Related Services:

Dental Implants
Dental Implant Testimony - El Dorado Family Dental
Ready to book an appointment?
If you have difficulty using our website, please email us or call us at (530) 444-4944
View the ADA Accessibility Statement